踇外翻症状及治疗
在日常生活中,你是否发现自己的大脚趾悄悄“跑偏”了?是否因为穿鞋时的疼痛而烦恼?今天,就让我们一起揭开踇外翻的神秘面纱,探索它的秘密以及应对之道。
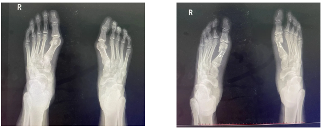
踇外翻不仅仅是“脚骨拐”的问题
踇外翻,俗称“大脚骨”,是一种常见的足部畸形。它不仅影响足部的美观,更会给我们的生活带来诸多不便。据统计,踇外翻的发病人群中,女性与男性的比例约为 30:1,且多呈对称性。其主要表现为足趾斜向外侧,第一骨内翻,第一二骨间夹角增大,趾关节轻度半脱位,第一骨头上形成骨赘,长期受鞋帮摩擦后,局部皮肤增厚,严重时还会红肿发炎,形成令人烦恼的囊炎。

成因探究遗传与生活习惯的双重夹击
踇外翻的发生并非偶然,遗传因素在其中扮演了重要角色,约占 80% 以上。如果你的家族中有人患有踇外翻,那么你患病的风险也会相应增加。然而,生活习惯同样不容忽视。经常穿尖头鞋或高跟鞋,会使脚趾长时间处于挤压状态,改变脚部的正常结构;站立过久、行走过多也会增加脚部的负担,促使踇外翻的发生。这些因素相互交织,共同导致了踇外翻的形成。
症状警示不容忽视的足部“警报”
踇外翻的症状多种多样,且随着病情的发展而逐渐加重。早期,你可能会发现自己的脚形变得难看,穿鞋时容易变形,甚至出现轻微的疼痛。随着病情的进展,囊炎可能会找上门来,让你的脚趾红肿发炎,疼痛难忍。更糟糕的是,踇外翻还常常并发脚垫、鸡眼、爪形趾以及其他脚趾畸形等问题,严重影响你的行走和生活质量。

治疗策略保守与手术的双轨选择
面对踇外翻,我们并非束手无策。在早期阶段或者轻度踇外翻的情况下,保守治疗是首选。选择合适的鞋子至关重要,宽头、软底、有足够深度的鞋子能够为趾提供足够的空间,减轻对趾的挤压。一些专门为足部问题设计的矫正鞋,其内部结构能够更好地适应趾外翻患者的足部形状。此外,踇外翻矫形器也是一种常用的保守治疗工具,它可以通过施加适当的外力,将趾慢慢矫正回正常的位置。一般来说,矫形器需要长期佩戴才能取得较好的效果。同时,物理治疗如热敷、按摩等也能缓解疼痛和减轻炎症。热敷可以促进局部的血液循环,而按摩则能够放松紧张的肌肉和韧带。

然而,当踇外翻发展到较为严重的程度,保守治疗效果不佳时,手术治疗就成为必要的选择。手术的目的是纠正趾的畸形,恢复足部的正常结构和功能。目前有多种手术方法可供选择,如截骨术、软组织手术等。截骨术主要是针对骨骼结构的改变,通过对第一骨等相关骨骼进行切割、重新定位和固定,来调整趾的力线。而软组织手术则侧重于对趾周围的韧带、肌肉等软组织进行修复和调整。手术治疗需要根据患者的具体情况,如年龄、健康状况、踇外翻的严重程度等因素进行综合评估,选择较为适合的手术方案。

预防先行守护足部健康,从现在做起
踇外翻虽然常见,但并非不可战胜。通过深入了解它的成因、症状以及治疗方法,我们可以更好地预防和应对这一问题,保护我们的足部健康。让我们从现在开始,关注足部健康,选择合适的鞋子,加强足部锻炼,定期检查足部状况,远离趾外翻的困扰,让双脚继续稳健地支撑我们的生活,迈向更加美好的未来。
5.舞蹈班、健身房等人群。


李龙飞| 副主任医师北京年轮中医骨科医院
毕业于河北大学医学部临床医学专业,深耕骨科领域近10年,专注创伤骨科与足踝外科。在多家三甲医院进修,熟练掌握国际前沿骨科诊疗技术。擅长各种创伤、四肢骨折、断肢再植、踇外翻、腰椎间盘突出及关节疼痛。

殷勇| 副主任医师北京年轮中医骨科医院
从事骨科临床工作21年,工作领域涉及创伤骨科、关节矫形外科,以及足踝外科等领域。发表临床研究型论文十余篇。擅长以手术方式治疗复杂骨折、纠正关节周围畸形以及足踝部常见病。并擅长对于颈肩腰腿痛等慢性劳损类疾病的中医保守治疗。

闫超| 外聘专家北京年轮中医骨科医院
踇外翻 、踇内翻 、小趾内翻、多趾(指)并指(趾)、亘指(趾)、爪状趾、锤状趾 槌状趾等等足踝疾病,尤其擅长微创踇外翻(大脚骨)。



