守护稳健步履:北京年轮中医骨科医院为中老年足部健康护航


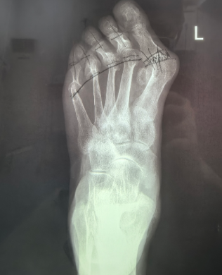
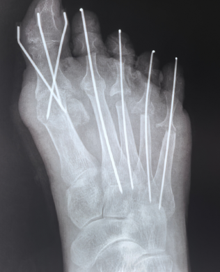
在应对复杂足部健康需求时,年轮医院医疗团队通常会采用多学科协作的模式,充分考虑个体的整体健康状况。例如以王阿姨例,30 年前即出现双足拇指外翻畸形,行走及运动后疼痛显著,经门诊检查确诊为 “双足跖趾关节病”,且患有类风湿性疾病。面对患者年龄大、病程长、合并症多的复杂情况,以闫超主任领衔的团队并未简单套用常规方案,而是通过多学科会诊反复研讨,zui终确定"单足多趾截骨矫形术",针对王阿姨单足 5 个脚趾共计 9 处截骨矫正手术,开展了精准的截骨矫形手术,以精细化操作攻克手术难题。此次手术的成功实施,不仅有效改善了王阿姨的足部畸形与疼痛症状,也体现了我院骨科在复杂足部矫形手术领域的专业技术实力。


Number2名医领航,专业守护每一步
医疗质量植根于专业人才的持续精进与团队的整体实力。北京年轮中医骨科医院始终将医疗团队的建设置于优先位置,汇聚了一批具有扎实专业背景和丰富临床实践的骨科专家,闫超主任作为团队代表之一,在足踝疾病诊疗领域积累了多年经验。

在针对老年足部疾患的诊疗过程中,医院注重综合评估患者的整体情况,在改善疼痛与矫正形态的同时,兼顾个体身体状况与功能恢复的长期目标。为此,医院强调诊疗过程的系统性,重视术前全面评估、术中精细操作与术后科学康复的有机衔接。
在拇外翻等足踝疾病的临床实践中,医院依托现代骨科诊疗技术,形成了涵盖评估、干预、康复的完整诊疗路径。通过规范化的医疗流程和个性化的康复指导,医院致力于帮助患者逐步恢复足部功能与行走能力,提升生活质量。这一系列医疗实践,体现了医院在足踝专病领域的专业技术能力和规范的临床执行体系。



